Nội dung chính
Bối cảnh và thông tin bệnh nhân
Bệnh viện Hữu Nghị Việt Nam – Cuba Đồng Hới (HNVN-CBĐH) xác nhận đã thực hiện đầy đủ quy trình y tế trong trường hợp bệnh nhân tử vong ngày 15/1/2026.
Bệnh nhân L.H.T.V, sinh năm 2010, cư trú tại xã Đồng Lê, có tiền sử hội chứng Down và tim bẩm sinh. Được chuyển từ Bệnh viện Đa khoa khu vực Tuyên Hóa vào lúc 17:44 cùng ngày với chẩn đoán ban đầu là viêm tụy cấp.
Quá trình tiếp nhận, thăm khám và chẩn đoán ban đầu
Ngay sau khi nhập viện, bệnh nhân đã được thăm khám toàn diện, thực hiện đầy đủ các xét nghiệm máu, sinh hoá và chụp hình ảnh. Đội ngũ y khoa đã giải thích chi tiết tình trạng bệnh cho gia đình và đưa ra chỉ định đặt sonde dạ dày do bệnh nhân báo cáo đau bụng dữ dội và bụng chướng.
Kết quả chụp cắt lớp vi tính và hội chẩn liên khoa

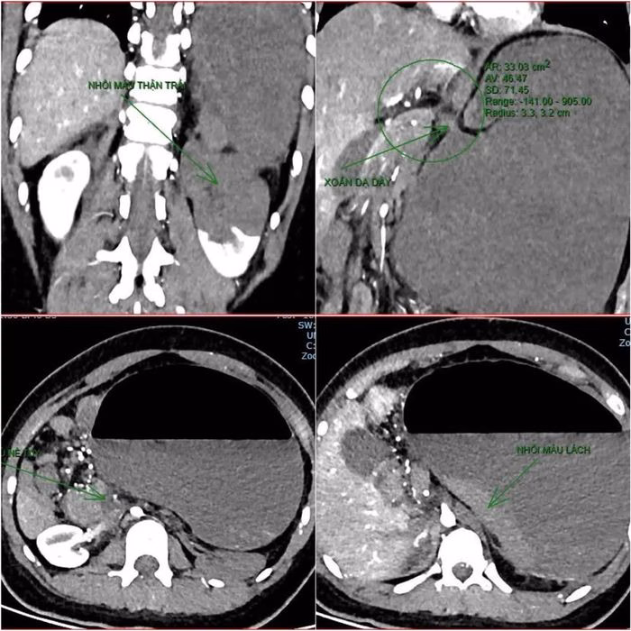
Vào khoảng 21:40, kết quả CT cho thấy bệnh trạng phức tạp: xoắn dạ dày, nhồi máu thận trái, nhồi máu lách, viêm đầu tụy, viêm hỗng tràng kèm dịch ổ bụng và tràn dịch màng phổi. Đặc điểm này rất hiếm gặp ở bệnh nhân có hội chứng Down và tim bẩm sinh.
Trước tình huống nguy hiểm, các bác sĩ chuyên khoa Hồi sức tích cực, Chống độc, Cấp cứu, Ngoại tổng hợp, Chẩn đoán hình ảnh và Gây mê hồi sức đã họp hội chẩn liên khoa để đưa ra phác đồ mổ cấp cứu.
Hành động cấp cứu và nguyên nhân tử vong
Sau khi quyết định mổ, bệnh nhân đột ngột suy hô hấp và ngừng tuần hoàn. Đội ngũ hồi sức đã thực hiện các biện pháp hồi sức tích cực, đặt nội khí quản và thực hiện hồi sức tim phổi (CPR) nhiều lần theo đúng phác đồ quốc tế.
Mặc dù đã can thiệp kịp thời, bệnh trạng quá nặng và tiến triển nhanh đã dẫn đến tử vong vào lúc 23:47 cùng ngày.
Phản hồi của bệnh viện và cam kết minh bạch
Lãnh đạo bệnh viện chia sẻ sâu sắc với nỗi mất mát của gia đình, đồng thời khẳng định mọi quy trình tiếp nhận, chẩn đoán, điều trị và cấp cứu đều tuân thủ chuẩn mực chuyên môn và tinh thần trách nhiệm cao nhất.
Trước áp lực dư luận, bệnh viện sẽ triệu tập hội đồng chuyên môn để rà soát lại toàn bộ quy trình. Nếu phát hiện sai sót, bệnh viện cam kết xử lý nghiêm minh những cá nhân có trách nhiệm, đồng thời phối hợp với cơ quan chức năng để thực hiện điều tra khách quan và minh bạch.
Hương Lê